Musculoskeletal: Three Dimensional (3D) Volumetric Imaging Spiral CT Datasets: Musculoskeletal Applications
E. Scott Pretorius, MD, Elliot K. Fishman, MD
Introduction
The combination of subsecond spiral CT scanning and three-dimensional volume rendering (3D-VR) provides a rapid and detailed examination of the musculoskeletal system. Techniques for optimal dataset acquisition and for real-time three-dimensional (3D) rendering of the dataset are discussed. We have found the images generated through 3D-VR to be useful in a wide variety of musculoskeletal applications, including trauma, infection, oncologic imaging, and postoperative imaging. In a substantial number of cases, patient management is altered by findings seen only on or better delineated by the 3D images — subtle fractures, anatomically complex injuries, pathology masked by metallic streak artifact. Additionally, 3D-VR images are capable of displaying complex spatial information, and are extremely useful in conveying complicated anatomic information to our clinical colleagues. This information is often critical in patient management decisions.
Technique
Spiral CT
Musculoskeletal applications of spiral CT scanning require an understanding of exam techniques and protocols in order to optimize study performance. Optimal scanning technique will, of course, be dependent upon the clinical question to be answered. Small areas of interest, such as the sternoclavicular joint or the wrist, benefit from spiral acquisition of a volume dataset combining narrow collimation (1-2 mm) and a pitch of 1-1.5 with small reconstruction increments (1 mm). Larger areas of interest, such as the pelvis or lower extremity, may be examined with wider collimation (3 mm), a pitch of 1-2, and reconstruction every 2-3 mm. Specific scan mAs and kVp values will depend on the scanner used. Typical imaging parameters for several representative clinical protocols are listed in Table 1. (1-2) If three-dimensional imaging is contemplated, even minimal interscan or intrascan motion artifact may severely compromise the integrity of the dataset. The use of subsecond spiral or helical acquisition limits or eliminates this potential artifact, even in those patients who may have difficulty remaining motionless. Studies performed for suspected infection in muscle or soft tissue, or for evaluation of a soft tissue neoplasm require the use of intravenous contrast. Rapid acquisition spiral CT allows the entire dataset to be acquired at the peak of contrast enhancement. In particular, 3D images using maximum intensity projection (MIP) or volume rendering (VR) techniques require optimal contrast administration if vascular images are to be generated. Injection rates are typically 3 cc/second, with scanning delay dependent upon the region of the body to be scanned. Typical scan delays are usually 40 seconds for an abdominal examination, 70 seconds for the lower extremities.
Volume Rendering
Creation of a multiplanar (MPR) two-dimensional reformatted image or a 3D CT image first begins with the acquisition and reconstruction of axial image data. (3) This data is usually composed of anisotropic voxels, which are longer in the z-axis than in the transverse plane. The data must then be interpolated to create cuboid isotropic voxels, which are the same dimension in all three axes. Isotropic data can then be mapped into the appropriate MPR plane or, with the application of the appropriate rendering algorithm, 3D volume. (4) All three-dimensional rendering algorithms attempt to display three-dimensional spatial relationships in a two dimensional image. Both shaded surface rendering (SSR) and volume rendering (VR) have been advocated as reconstruction algorithms for 3D musculoskeletal imaging, but certain specific advantages of volume rendering make it our preferred algorithm for all 3D musculoskeletal imaging applications. Shaded surface rendering algorithms take the first voxel encountered along a projection ray that exceeds a user-defined threshold value, and define that voxel’s position and attenuation value as the surface of the bone. No other CT information along that projection ray contributes to the viewed image. Shaded surface renderings are therefore capable of demonstrating gross 3D relationships, but fail to display lesions hidden beneath the bony surface. (5-7) Shaded surface displays also tend to suffer from stairstep artifacts. By making use of the entire dataset, VR techniques convey more information than SSR. In VR, the contributions of each voxel along a line of sight from the viewer's eye through the dataset are summed. This process is repeated many times to determine each pixel value in the displayed image. Because the entire data set is incorporated into the resulting image, volume rendering requires considerably more computer power than other rendering algorithms. Ongoing advances in workstation hardware and software have now made this computer power clinically available at a reasonable cost. We currently use Silicon Graphics workstations (Silicon Graphics, Mountain View, CA.) which are capable of producing volume rendered images at real time rates. Real-time interactive display eliminates the need for the editing step prior to 3D rendering, thus minimizing the radiologist's time commitment while expediting communication of results to the referring clinician. Volume rendered images may be viewed in any plane or projection and in opacities ranging from transparent to opaque. We have found the review of these images useful in a wide variety of clinical situations, including trauma, infectious disease, oncologic imaging, and postoperative imaging. In our experience, spiral CT combined with 3D-VR techniques has proven valuable in the diagnosis of subtle abnormalities, in planning patient therapy, and especially in communicating complex spatial information to our clinical colleagues. (8-10)
Musculoskeletal Applications
Trauma
There are two major roles for spiral CT in musculoskeletal trauma: to define or exclude a fracture which was equivocal on plain radiographs, or to determine the true extent of a previously diagnosed fracture, providing a guide for therapy. In institutions where a CT scanner is physically located in the emergency room, select patients with clinically apparent fractures may bypass plain radiographs for a spiral CT, which will provide additional information about soft tissues abnormalities as well as define osseous anatomy. This is especially true in anatomically complex areas — such as the pelvis, scapula, and spine — where plain films are often limited in their ability to detect fractures. In the setting of trauma, conventional radiographic series are often difficult to obtain as patients may be unable to cooperate fully with positioning. In comparison with these often poor-quality trauma radiographs, spiral CT with 3D-VR represents a significant advance in trauma imaging, as well a significant savings in terms of patient time spent in radiology. We have found the routine use of MPR and 3D-VR imaging to be a critical part of the musculoskeletal trauma CT study. For patients with pelvic fractures seen on axial CT images, management decisions have been shown to have been altered in up to 30 percent of cases based on the MPR or 3D-VR images (11). In general, these changes in patient management result when MPR or 3D-VR images reveal a more severe injury than was clinically suspected or than was seen on conventional axial images. In our experience, these patients tend to fall into two groups: those who might otherwise have been conservatively managed who become surgical candidates, and those whose urgent surgery is delayed in favor of later, definitive arthrodesis or arthroplasty.
Shoulder
Fractures of the scapula are often extremely subtle on plain radiographs, but spiral CT with 3D-VR images is extremely sensitive for the detection and characterization of such fractures. One study of patients with scapular fractures demonstrated the high frequency of associated traumatic injury to the shoulder, chest wall and lung: pulmonary contusion, 54%; rib fracture, 54%; clavicular fracture 27%, subclavian, brachial, or axillary artery injury, 11%. (12) Spiral CT with 3D-VR imaging can diagnose these injuries and display the relevant anatomy in this complex region. For evaluation of three- and four-part fractures of the proximal humerus, the superiority of spiral CT with MPR and 3D imaging to plain film radiographs has been demonstrated. (13) Spiral CT is extremely sensitive for the detection of these fractures, and 3D-VR images can display the spatial relationships of fracture fragments in this very complex anatomic region. In particular, the number of fracture fragments and their degree of rotation — critical in determining whether a patient with a proximal humeral fracture should be managed operatively (14-15) — is well demonstrated
Sternoclavicular joint
Most sternoclavicular joint (SCJ) injuries result from blunt closed chest trauma, such as motor vehicle accidents. Although the SCJ may be injured in isolation accompanying fractures of superior ribs or of the shoulder joint are common. Posterior SCJ dislocation is associated with injury to the aorta and great vessels. Intravenous contrast should always be given in these cases to exclude vascular injury, and, if possible, CT angiography should be performed. MPR and 3D imaging are a routine part of our imaging of the SCJ. The sternum is best evaluated on coronal and coronal oblique images. (16) 3D-VR images, particularly viewed in the Z-axis projection, are optimal for evaluating at the orientation of SC joint dislocations. For the SCJ, these images are most useful after nearby bony structures, such as the rib cage and spine have been edited.
Elbow
Spiral CT of the elbow is indicated for fracture detection when plain films are equivocal, or for fracture delineation when plain radiographs demonstrate a complex injury. In these cases, 3D-VR images are ideal for anatomic evaluation and for communication of fracture fragment interrelationships to the orthopedic surgeon. We have found that 2mm scan collimation with 1mm reconstruction interval is needed to obtain satisfactory detail in these patients.
Wrist
As with other small regions of the body, the wrist is best evaluated with narrow slice thicknesses (1-2 mm) with reconstruction at 1 mm. The indications for spiral CT with 3D-VR of the wrist are similar to those in the elbow — complex fractures requiring further delineation or clinically suspected fractures not seen on plain radiographs. While direct coronal scanning can obviate the need for MPR in this important plane (17), 3D-VR allows evaluation of the wrist from any perspective. Unlike plainfilm radiography, 3D-VR CT images can be obtained through cast material, without significant image degradation.
Spine
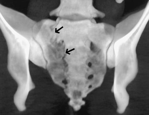
Spinal trauma can be routinely evaluated with a combination of transaxial spiral CT and 3D-VR images. Specific applications include identification of fracturs, subluxation, locked facets and localization of foreign bodies, and fracture fragments Spiral CT is especially valuable in the detection of subtle sacral fractures which are often missed on plain radiographs. The relationship of the fracture to the sacral foramina is well seen on the 3D views.
Pelvis
Spiral CT datasets coupled with real time 3D-VR allow visualization of the entire pelvis though any plane or perspective. (18) Any inlet or tangential view desired may be created, eliminating the need for time-consuming radiographic series . The dataset may be edited to isolate the fracture, and in select cases the femur may be disarticulated from the acetabulum. Concurrent sacral and sacroiliac injuries may also be identified and mapped (19) . Although CT and 3D imaging are not necessary in every case of pelvic trauma, we have found that the interpretation of very complex injuries benefits most from 3D imaging. (20) The use of intravenous contrast for these studies allows a vascular map of the iliac and femoral vessels to be created from the same CT dataset (21) Associated major vessels can be identified and evaluated, although hemodynamically unstable patients with suspected injury to smaller vessels should still be evaluated with catheter angiography. (22)
Knee
Although MRI is the preferred modality for evaluating the ligaments and menisci of the knee, spiral CT with MPR and 3D-VR imaging is ideal for evaluation of the osseous structures of the acutely traumatized knee, even if the joint is wrapped or partially casted . These images, for example, can be used to identify and quantitate tibial plateau depression, even if the knee cannot be easily positioned for conventional radiographs (23). Although the knee menisci and ligaments are better imaged with MRI, 3D CT images have been used as a guide for cruciate ligament replacement surgery. (24)
Ankle
Routine fractures of the ankle do not require CT scanning. However, for complex intra-articular fractures of the distal tibia, the added information provided by spiral CT and 3D-VR imaging may assist the clinician in triaging the patient to either immediate surgery and or to later, definitive arthroplasty (25-26Talar and calcaneal injuries can also be easily evaluated and 3D mapping done for preoperative planning. Depending on the site of injury and the preference of the referring orthopedic surgeon, we will either do a single data acquisition in a plane parallel to the foot or two datasets including one set with direct coronal imaging. Infection An increasing number of examinations are being performed for the evaluation of known or suspected musculoskeletal infection. This is due both to the high incidence of intravenous drug use in our patient population, as well as to the growing population of immunocompromised patients, which includes persons with AIDS, transplant patients, renal dialysis patients, and patients with underlying malignancies (27). Spiral CT with 3D-VR is valuable in detecting the presence of infection, determining which compartments are involved (subcutaneous tissue, fascia, muscle, bone) and the extent of the process. This information is needed for patient triage (medical vs. surgical management) as well as for monitoring response to surgical or antibiotic therapy. Iodinated contrast is necessary for defining the extent of disease. Abnormal muscle will generally enhance less than normal muscle, thereby accentuating the disease process. Rim enhancement, of an abscess, however, is not uncommon in these cases. (28) Definition of the vascular anatomy is also helpful in these cases and 3D CT-angiography may be obtained as needed.
Osteomyelitis
Spiral CT with 3D-VR can evaluate both cortical bone and associated soft tissue masses in suspected osteomyelitis of the spine .Sternoclavicular joint infection is most common among HIV-positive patients and in intravenous drug users although we have seen cases in patients with neither of these risk factors. (29) In patients with osteomyelitis of these and other regions, extension of infection and inflammation into adjacent soft tissues is not uncommon. CT can be used both to assess disease extent and to monitor response to therapy.
Soft Tissue and Muscle Abscess
AIDS patients and patients with a history of intravenous drug use have increased incidence of soft tissue abscesses, often with subtle clinical . Contrast-enhanced spiral CT optimizes lesion detection during the pre-equilibrium phase, even in patients with poor tissue planes. The extent of involvement is well demonstrated on MPR and 3D imaging; these images are useful in surgical planning, especially when the area of involvement is extensive.
Oncologic imaging
For primary bone tumors, plain radiographs remain the mainstay of lesion detection and of differential diagnosis. Although MRI has become the leading modality for evaluating the extent of osseous and soft tissues neoplasms, many studies, including the RDOG trials (30), have demonstrated that CT is nearly as efficacious. CT remains superior to MR in detection of cortical destruction and of lesion calcification. Spiral CT with 3D-VR is useful in defining the full extent of primary and metastatic bone tumors. (31) Although bone scintigraphy is an excellent screening study for metastases, cross-sectional imaging with CT is much more specific when symptoms are localized to a particular anatomic region. Soft tissue masses are best evaluated with the addition of intravenous contrast. Anatomic information gained from 3D CT can be useful in oncologic therapeutic planning, whether it be surgery or radiation therapy (32) Three-dimensional images are especially valuable in anatomically complex areas such as the ribs, pelvis shoulder , and spine and have proven very useful in communicating information to referring clinicians. Follow-up scans can monitor disease response to therapeutic interventions.
Postoperative imaging
When plain films fail to answer the clinical question in a postoperative orthopedic patient, cross-sectional imaging with CT or MRI is generally attempted. CT scanning in these patients is often markedly limited secondary to extensive streak artifact from implanted hardware, and MRI is limited by susceptibility artifact. Spiral CT with 3D-VR is often able to compensate for streak artifact, and studies are usually quite successful despite the presence of metal prosthesis, pins and plates . For this reason, it is has become our modality of choice for postoperative cross-sectional imaging of orthopedic patients.
Conclusion
Spiral CT is a powerful modality for evaluation of the musculoskeletal system, particularly when coupled with real-time, 3D volume rendering techniques. These images have become a valuable part of our evaluation of musculoskeletal pathology, and we find that their inclusion in our routine musculoskeletal protocols changes patient management in a significant number of cases. In trauma cases, subtle fractures — particularly those oriented in the axial plane — are better seen on 3D volume rendered images. Complex injuries can be better delineated with 3D-VR images, and complicated spatial information about the relative position of fracture fragments can be easily demonstrated to the orthopedic surgeons. The use of intravenous contrast in the evaluation of trauma cases allows for simultaneous evaluation of osseous and vascular structures within the affected area. Evaluation of suspected infectious and neoplastic pathology is also aided by inclusion of 3D imaging as part of the musculoskeletal spiral CT examination. Disease extent can be thoroughly evaluated through use of 3D images, and therapeutic planning — be it surgical or medical — is aided by the anatomic information available from the 3D images. Postoperative studies in patients with orthopedic hardware also benefit from 3D-VR images. Cross-sectional imaging in these patients has traditionally been a source of frustration for both the radiologist and the orthopedist, as CT images are limited by streak artifact and MR images by susceptibility. However, spiral CT images with 3D-VR eliminate the vast majority of streak artifact, and produce high-quality studies in which the relationship hardware, bones, and bone fragments can be well delineated.
 | Figure 1a. Diagrams of shaded surface rendering (a) and volume rendering (b) and the resulting 3D images show the variations between these 3D rendering techniques. |
 | Figure 1b. Diagrams of shaded surface rendering (a) and volume rendering (b) and the resulting 3D images show the variations between these 3D rendering techniques. |
 | Figure 2. Anterior volume-rendered spiral CT image of the sacrum reveals a subtle fracture of the right aspect of S1 (arrows). The fracture was not seen on conventional axial images because the fracture line lay relatively in the axial plane. |
 | Figures 3, 4. (3) Scapular fracture in a pedestrian who was struck by an automobile. Posterior volume-rendered spiral CT image shows a complex fracture of the right shoulder. The scapular body is shattered (black arrows), and the scapular spine has become separated from the remainder of the bone. An associated ipsilateral rib fracture is also seen (white arrow). (4) Right posterior oblique volume-rendered spiral CT image of the shoulder shows a comminuted fracture of the scapular body (arrow). The scapular spine, coracoid process, and acromioclavicular joint are intact. |
 | Figures 3, 4. (3) Scapular fracture in a pedestrian who was struck by an automobile. Posterior volume-rendered spiral CT image shows a complex fracture of the right shoulder. The scapular body is shattered (black arrows), and the scapular spine has become separated from the remainder of the bone. An associated ipsilateral rib fracture is also seen (white arrow). (4) Right posterior oblique volume-rendered spiral CT image of the shoulder shows a comminuted fracture of the scapular body (arrow). The scapular spine, coracoid process, and acromioclavicular joint are intact. |
 | Figures 5, 6. (5) Inferior volume-rendered spiral CT image shows a comminuted fracture of the medial right clavicle (arrow). The medial aspect of the clavicle is displaced posteriorly with respect to the more lateral portions of the bone. The right sternoclavicular joint is disrupted, as manifested by widening of the joint space. The superior ribs and the great vessels were not injured. (6) Inferior volume-rendered spiral CT image shows posterior dislocation of the right sternoclavicular joint (white arrow). A mediastinal hematoma is present (arrowhead); axial contrast material-enhanced images (not shown) demonstrated the site of venous hemorrhage. There is an associated fracture of the right fourth rib (black arrows). |
 | Figures 5, 6. (5) Inferior volume-rendered spiral CT image shows a comminuted fracture of the medial right clavicle (arrow). The medial aspect of the clavicle is displaced posteriorly with respect to the more lateral portions of the bone. The right sternoclavicular joint is disrupted, as manifested by widening of the joint space. The superior ribs and the great vessels were not injured. (6) Inferior volume-rendered spiral CT image shows posterior dislocation of the right sternoclavicular joint (white arrow). A mediastinal hematoma is present (arrowhead); axial contrast material-enhanced images (not shown) demonstrated the site of venous hemorrhage. There is an associated fracture of the right fourth rib (black arrows). |
 | Figure 7a. Lateral (a) and dorsal (b) volume-rendered spiral CT images obtained for surgical planning show a comminuted, intraarticular fracture of the olecranon (arrow), which was identified on plain radiographs. The ulnar diaphysis is displaced distally and slightly volarly relative to the major proximal fracture fragment. |
 | Figure 7b. Lateral (a) and dorsal (b) volume-rendered spiral CT images obtained for surgical planning show a comminuted, intraarticular fracture of the olecranon (arrow), which was identified on plain radiographs. The ulnar diaphysis is displaced distally and slightly volarly relative to the major proximal fracture fragment. |
 | Figure 8. Lateral volume-rendered spiral CT image shows an impacted, comminuted, intraarticular fracture of the distal radius with dorsal angulation of the distal fracture fragments (arrow). In this case, spiral CT required 2-mm-thick sections reconstructed at 1-mm intervals to provide detail of small bone structures. No evidence of associated carpal bone fracture was seen at spiral CT. |
 | Figure 9. Dorsal volume-rendered spiral CT image shows an impacted fracture of the distal radius (thin arrows) with an associated fracture of the distal ulna (thick arrow). A small fracture fragment of the radial styloid process is also seen (arrowhead). The image was obtained through a cast, which would limit the usefulness of plain radiography. |
 | Figure 10. Spinal fracture secondary to a gunshot wound. Inferior volume-rendered spiral CT image shows an impacted bullet at the pedicle of T11 with extradural extension of both bullet fragments and bone fragments (arrow). Streak artifact is minimal despite the large caliber of the bullet. |
 | Figure 11a. (a) Lateral volume-rendered spiral CT image shows a flexion teardrop fracture at C6 with posterior displacement of the posterior portion of the vertebral body (arrow). (b) Cutaway anterior volume-rendered spiral CT image best shows the full extent of involvement. |
 | Figure 11b. (a) Lateral volume-rendered spiral CT image shows a flexion teardrop fracture at C6 with posterior displacement of the posterior portion of the vertebral body (arrow). (b) Cutaway anterior volume-rendered spiral CT image best shows the full extent of involvement. |
 | Figures 12, 13. (12) Sacral fracture in a 34-year-old woman who was unable to walk or control her bladder after a high-speed motor vehicle accident. Anterior volume-rendered spiral CT image with the pubis and ischium removed by editing shows a fracture of the right hemisacrum that extends through the neural foramina of S1-S4 (arrows). The patient was ultimately able to walk but did not regain normal bladder control. (13) Anterior volume-rendered spiral CT image shows a sacral stress fracture. The fracture lines extend through both the left and right foramina of S1 and S2 (arrows). |
 | Figures 12, 13. (12) Sacral fracture in a 34-year-old woman who was unable to walk or control her bladder after a high-speed motor vehicle accident. Anterior volume-rendered spiral CT image with the pubis and ischium removed by editing shows a fracture of the right hemisacrum that extends through the neural foramina of S1-S4 (arrows). The patient was ultimately able to walk but did not regain normal bladder control. (13) Anterior volume-rendered spiral CT image shows a sacral stress fracture. The fracture lines extend through both the left and right foramina of S1 and S2 (arrows). |
 | Figures 14-16. (14) Pelvic fracture in a 15-year-old boy who was struck by an automobile. Volume-rendered spiral CT image (superior view of left anterior oblique projection) shows the extent of an acetabular fracture (arrow), which was surgically repaired. (15a) Volume-rendered spiral CT image (angled inlet view) shows the extent of a right acetabular fracture (arrows). (15b) Edited right posterior oblique volume-rendered spiral CT image best shows the orientation of the fracture lines and the acetabulum. (16) Pelvic fracture with an intraar-ticular fragment in a 15-year-old boy who was struck by a bus. Inferior volume-rendered spiral CT image shows a posterior acetabular fracture (curved arrow). An intraarticular bone fragment is seen (straight arrow); this fragment was a result of the initial injury, which was a posterior fracture with dislocation. |
 | Figures 14-16. (14) Pelvic fracture in a 15-year-old boy who was struck by an automobile. Volume-rendered spiral CT image (superior view of left anterior oblique projection) shows the extent of an acetabular fracture (arrow), which was surgically repaired. (15a) Volume-rendered spiral CT image (angled inlet view) shows the extent of a right acetabular fracture (arrows). (15b) Edited right posterior oblique volume-rendered spiral CT image best shows the orientation of the fracture lines and the acetabulum. (16) Pelvic fracture with an intraar-ticular fragment in a 15-year-old boy who was struck by a bus. Inferior volume-rendered spiral CT image shows a posterior acetabular fracture (curved arrow). An intraarticular bone fragment is seen (straight arrow); this fragment was a result of the initial injury, which was a posterior fracture with dislocation. |
 | Figures 14-16. (14) Pelvic fracture in a 15-year-old boy who was struck by an automobile. Volume-rendered spiral CT image (superior view of left anterior oblique projection) shows the extent of an acetabular fracture (arrow), which was surgically repaired. (15a) Volume-rendered spiral CT image (angled inlet view) shows the extent of a right acetabular fracture (arrows). (15b) Edited right posterior oblique volume-rendered spiral CT image best shows the orientation of the fracture lines and the acetabulum. (16) Pelvic fracture with an intraar-ticular fragment in a 15-year-old boy who was struck by a bus. Inferior volume-rendered spiral CT image shows a posterior acetabular fracture (curved arrow). An intraarticular bone fragment is seen (straight arrow); this fragment was a result of the initial injury, which was a posterior fracture with dislocation. |
 | Figures 14-16. (14) Pelvic fracture in a 15-year-old boy who was struck by an automobile. Volume-rendered spiral CT image (superior view of left anterior oblique projection) shows the extent of an acetabular fracture (arrow), which was surgically repaired. (15a) Volume-rendered spiral CT image (angled inlet view) shows the extent of a right acetabular fracture (arrows). (15b) Edited right posterior oblique volume-rendered spiral CT image best shows the orientation of the fracture lines and the acetabulum. (16) Pelvic fracture with an intraar-ticular fragment in a 15-year-old boy who was struck by a bus. Inferior volume-rendered spiral CT image shows a posterior acetabular fracture (curved arrow). An intraarticular bone fragment is seen (straight arrow); this fragment was a result of the initial injury, which was a posterior fracture with dislocation. |
 | Figure 17. Anterior volume-rendered spiral CT image of the pelvis shows that the osseous and major vascular structures are normal. In this trauma case, evaluation of the aorta and major pelvic vasculature was performed at the same time as evaluation of the osseous pelvis. |
 | Figures 18-20. (18) Knee fracture in a patient with a history of a gunshot wound. Anterior (a) and lateral (b) volume-rendered spiral CT images show a comminuted fracture of the distal femur (arrow). (19) Anterior (a) and lateral (b) volume-rendered spiral CT images clearly show a comminuted fracture of the tibial plateau (arrow). Because of the presence of a partial cast, the examination would have been extremely limited if performed with plain radiography. (20) Knee fracture in a 12-year-old boy who hit a stationary automobile while riding a moped. Anterior (a) and posterior (b) volume-rendered spiral CT images show a fracture of the lateral aspect of the distal femur (arrow in a). Avulsion of the tibial spines is best seen on the posterior view (arrow in b). |
 | Figures 18-20. (18) Knee fracture in a patient with a history of a gunshot wound. Anterior (a) and lateral (b) volume-rendered spiral CT images show a comminuted fracture of the distal femur (arrow). (19) Anterior (a) and lateral (b) volume-rendered spiral CT images clearly show a comminuted fracture of the tibial plateau (arrow). Because of the presence of a partial cast, the examination would have been extremely limited if performed with plain radiography. (20) Knee fracture in a 12-year-old boy who hit a stationary automobile while riding a moped. Anterior (a) and posterior (b) volume-rendered spiral CT images show a fracture of the lateral aspect of the distal femur (arrow in a). Avulsion of the tibial spines is best seen on the posterior view (arrow in b). |
 | Figures 18-20. (18) Knee fracture in a patient with a history of a gunshot wound. Anterior (a) and lateral (b) volume-rendered spiral CT images show a comminuted fracture of the distal femur (arrow). (19) Anterior (a) and lateral (b) volume-rendered spiral CT images clearly show a comminuted fracture of the tibial plateau (arrow). Because of the presence of a partial cast, the examination would have been extremely limited if performed with plain radiography. (20) Knee fracture in a 12-year-old boy who hit a stationary automobile while riding a moped. Anterior (a) and posterior (b) volume-rendered spiral CT images show a fracture of the lateral aspect of the distal femur (arrow in a). Avulsion of the tibial spines is best seen on the posterior view (arrow in b). |
 | Figures 18-20. (18) Knee fracture in a patient with a history of a gunshot wound. Anterior (a) and lateral (b) volume-rendered spiral CT images show a comminuted fracture of the distal femur (arrow). (19) Anterior (a) and lateral (b) volume-rendered spiral CT images clearly show a comminuted fracture of the tibial plateau (arrow). Because of the presence of a partial cast, the examination would have been extremely limited if performed with plain radiography. (20) Knee fracture in a 12-year-old boy who hit a stationary automobile while riding a moped. Anterior (a) and posterior (b) volume-rendered spiral CT images show a fracture of the lateral aspect of the distal femur (arrow in a). Avulsion of the tibial spines is best seen on the posterior view (arrow in b). |
 | Figures 18-20. (18) Knee fracture in a patient with a history of a gunshot wound. Anterior (a) and lateral (b) volume-rendered spiral CT images show a comminuted fracture of the distal femur (arrow). (19) Anterior (a) and lateral (b) volume-rendered spiral CT images clearly show a comminuted fracture of the tibial plateau (arrow). Because of the presence of a partial cast, the examination would have been extremely limited if performed with plain radiography. (20) Knee fracture in a 12-year-old boy who hit a stationary automobile while riding a moped. Anterior (a) and posterior (b) volume-rendered spiral CT images show a fracture of the lateral aspect of the distal femur (arrow in a). Avulsion of the tibial spines is best seen on the posterior view (arrow in b). |
 | Figures 18-20. (18) Knee fracture in a patient with a history of a gunshot wound. Anterior (a) and lateral (b) volume-rendered spiral CT images show a comminuted fracture of the distal femur (arrow). (19) Anterior (a) and lateral (b) volume-rendered spiral CT images clearly show a comminuted fracture of the tibial plateau (arrow). Because of the presence of a partial cast, the examination would have been extremely limited if performed with plain radiography. (20) Knee fracture in a 12-year-old boy who hit a stationary automobile while riding a moped. Anterior (a) and posterior (b) volume-rendered spiral CT images show a fracture of the lateral aspect of the distal femur (arrow in a). Avulsion of the tibial spines is best seen on the posterior view (arrow in b). |
 | Figures 21, 22. (21) Anterior (a) and superior (b) volume-rendered spiral CT images obtained through a cast show a comminuted, impacted fracture of the distal tibia (arrows in a). (22) Lateral (a) and anterior (b) volume-rendered spiral CT images show a Salter II fracture of the distal tibia (arrows in a, solid arrow in b) with considerable anterior and lateral displacement and angulation of distal fracture fragments. The anterior view also clearly shows an associated fibular injury (open arrow in b). |
 | Figures 21, 22. (21) Anterior (a) and superior (b) volume-rendered spiral CT images obtained through a cast show a comminuted, impacted fracture of the distal tibia (arrows in a). (22) Lateral (a) and anterior (b) volume-rendered spiral CT images show a Salter II fracture of the distal tibia (arrows in a, solid arrow in b) with considerable anterior and lateral displacement and angulation of distal fracture fragments. The anterior view also clearly shows an associated fibular injury (open arrow in b). |
 | Figures 21, 22. (21) Anterior (a) and superior (b) volume-rendered spiral CT images obtained through a cast show a comminuted, impacted fracture of the distal tibia (arrows in a). (22) Lateral (a) and anterior (b) volume-rendered spiral CT images show a Salter II fracture of the distal tibia (arrows in a, solid arrow in b) with considerable anterior and lateral displacement and angulation of distal fracture fragments. The anterior view also clearly shows an associated fibular injury (open arrow in b). |
 | Figures 21, 22. (21) Anterior (a) and superior (b) volume-rendered spiral CT images obtained through a cast show a comminuted, impacted fracture of the distal tibia (arrows in a). (22) Lateral (a) and anterior (b) volume-rendered spiral CT images show a Salter II fracture of the distal tibia (arrows in a, solid arrow in b) with considerable anterior and lateral displacement and angulation of distal fracture fragments. The anterior view also clearly shows an associated fibular injury (open arrow in b). |
 | Figure 23. Ankle fracture in a patient with a history of a fall from a height of several meters. Lateral volume-rendered spiral CT image obtained through a cast shows a comminuted fracture of the calcaneus (arrows). The subtalar joint appears to be intact. |
 | Figure 24a. Superior (a) and posterior (b) volume-rendered spiral CT images obtained through a cast show the extent of a comminuted calcaneal fracture (arrow), which was the result of a three-story jump from a burning building. The orientation of the fracture fragments seen on these views is helpful for presurgical planning, and the intraarticular nature of the fracture (arrow in b) is best seen in the posterior projection. |
 | Figure 24a. Superior (a) and posterior (b) volume-rendered spiral CT images obtained through a cast show the extent of a comminuted calcaneal fracture (arrow), which was the result of a three-story jump from a burning building. The orientation of the fracture fragments seen on these views is helpful for presurgical planning, and the intraarticular nature of the fracture (arrow in b) is best seen in the posterior projection. |
 | Figure 25. Anterior volume-rendered spiral CT image shows osteomyelitis with bone erosion in the thoracic spine. The infection proved to be due to Staphylococcus aureus. |
 | Figure 26. Osteomyelitis in a patient with a history of intravenous drug abuse. Anterior volume-rendered spiral CT image shows osteomyelitis with erosion of the proximal right clavicle and the manubrium (arrow). The infection was due to S aureus. |
 | Figure 27a. Soft-tissue abscess in a patient with a history of drug use and shoulder pain. Lateral (a) and posterior (b) volume-rendered spiral CT images obtained after administration of intravenous contrast material show a large abscess that involves the right shoulder. The full extent of the abscess is seen, including involvement of the supraspinous (arrowheads), infraspinous (solid arrow), and teres minor (open arrow) muscles. Blood cultures were positive for S aureus. |
 | Figure 27b. Soft-tissue abscess in a patient with a history of drug use and shoulder pain. Lateral (a) and posterior (b) volume-rendered spiral CT images obtained after administration of intravenous contrast material show a large abscess that involves the right shoulder. The full extent of the abscess is seen, including involvement of the supraspinous (arrowheads), infraspinous (solid arrow), and teres minor (open arrow) muscles. Blood cultures were positive for S aureus. |
 | Figure 28a. Soft-tissue abscesses in a 33-year-old woman with systemic lupus erythematosus, which was being treated with steroids. The patient presented with shoulder and arm pain, and the steroid dosage was increased to treat the suspected flare of the disease. Anterior (b) and inferior (b) volume-rendered spiral CT images obtained after administration of intravenous contrast material show multiple hypoattenuating, rim-enhancing abscesses in the right arm and chest wall (arrows). These abscesses, which track through the arm musculature, are seen to be interconnected. Group A streptococci were cultured from the abscesses. |
 | Figure 28b. Soft-tissue abscesses in a 33-year-old woman with systemic lupus erythematosus, which was being treated with steroids. The patient presented with shoulder and arm pain, and the steroid dosage was increased to treat the suspected flare of the disease. Anterior (a) and inferior (b) volume-rendered spiral CT images obtained after administration of intravenous contrast material show multiple hypoattenuating, rim-enhancing abscesses in the right arm and chest wall (arrows). These abscesses, which track through the arm musculature, are seen to be interconnected. Group A streptococci were cultured from the abscesses. |
 | Figure 29. Anterior volume-rendered spiral CT image shows a large lytic lesion involving the superior aspect of the sacrum (arrow). No matrix was seen. This finding proved to be a giant cell tumor. On the basis of the CT appearance, the differential diagnosis would also include metastatic disease, chordoma, and neurofibroma. |
 | Figure 30. Metastasis in a patient with known carcinoma of the breast. Anterior volume-rendered spiral CT image shows a sclerotic metastasis to the left ischium (arrow). |
 | Figures 31-34. (31) Posterior volume-rendered spiral CT image shows a sclerotic lesion within the left aspect of the transitional L5 vertebral body (arrows). The study was performed for preoperative planning. The lesion represented a Ewing sarcoma, which appeared to be localized to this vertebral body. (32) Anterior volume-rendered spiral CT image shows a destructive, midline lesion of the sacrum (arrow). The lesion was a biopsy-proved chordoma. (33) Superior volume-rendered spiral CT image shows extensive replacement and destruction of the scapula by advanced multiple myeloma. (34) Lateral volume-rendered spiral CT image shows a mixture of sclerotic (thin arrows) and lytic (thick arrow) lesions within the lumbar spine, findings consistent with the patient's known lymphoma. The superior end plate of the L3 vertebral body has collapsed (top thin arrow). |
 | Figures 31-34. (31) Posterior volume-rendered spiral CT image shows a sclerotic lesion within the left aspect of the transitional L5 vertebral body (arrows). The study was performed for preoperative planning. The lesion represented a Ewing sarcoma, which appeared to be localized to this vertebral body. (32) Anterior volume-rendered spiral CT image shows a destructive, midline lesion of the sacrum (arrow). The lesion was a biopsy-proved chordoma. (33) Superior volume-rendered spiral CT image shows extensive replacement and destruction of the scapula by advanced multiple myeloma. (34) Lateral volume-rendered spiral CT image shows a mixture of sclerotic (thin arrows) and lytic (thick arrow) lesions within the lumbar spine, findings consistent with the patient's known lymphoma. The superior end plate of the L3 vertebral body has collapsed (top thin arrow). |
 | Figures 31-34. (31) Posterior volume-rendered spiral CT image shows a sclerotic lesion within the left aspect of the transitional L5 vertebral body (arrows). The study was performed for preoperative planning. The lesion represented a Ewing sarcoma, which appeared to be localized to this vertebral body. (32) Anterior volume-rendered spiral CT image shows a destructive, midline lesion of the sacrum (arrow). The lesion was a biopsy-proved chordoma. (33) Superior volume-rendered spiral CT image shows extensive replacement and destruction of the scapula by advanced multiple myeloma. (34) Lateral volume-rendered spiral CT image shows a mixture of sclerotic (thin arrows) and lytic (thick arrow) lesions within the lumbar spine, findings consistent with the patient's known lymphoma. The superior end plate of the L3 vertebral body has collapsed (top thin arrow). |
 | Figures 31-34. (31) Posterior volume-rendered spiral CT image shows a sclerotic lesion within the left aspect of the transitional L5 vertebral body (arrows). The study was performed for preoperative planning. The lesion represented a Ewing sarcoma, which appeared to be localized to this vertebral body. (32) Anterior volume-rendered spiral CT image shows a destructive, midline lesion of the sacrum (arrow). The lesion was a biopsy-proved chordoma. (33) Superior volume-rendered spiral CT image shows extensive replacement and destruction of the scapula by advanced multiple myeloma. (34) Lateral volume-rendered spiral CT image shows a mixture of sclerotic (thin arrows) and lytic (thick arrow) lesions within the lumbar spine, findings consistent with the patient's known lymphoma. The superior end plate of the L3 vertebral body has collapsed (top thin arrow). |
 | Figures 35-37. (35) Complex pelvic injury reduced intraoperatively. Spiral CT with 3D reconstruction was performed to determine if the reduction was successful. Despite extensive metal artifact due to plates and screws in the pubic symphysis, both iliac crests, and the sacrum, superior (a) and inferior (b) volume-rendered spiral CT images show successful reduction of the fractures. Specific detail, especially that of the left sacral fracture (arrows in a), is well defined. (36) Anterior volume-rendered spiral CT image (transparent mode) shows a pin inserted through an impacted fracture of the left femoral neck. The study was performed to confirm accurate placement of the pin, which is well seen on this image. No streak artifact from the pin is seen. (37) Anterior volume-rendered spiral CT image shows a failed right hip prosthesis, which is superiorly displaced relative to the osseous acetabulum. Several cerclage wires are broken. A slight streak is visible, but osseous detail in the region of the prosthesis failure can still be seen. |
 | Figures 35-37. (35) Complex pelvic injury reduced intraoperatively. Spiral CT with 3D reconstruction was performed to determine if the reduction was successful. Despite extensive metal artifact due to plates and screws in the pubic symphysis, both iliac crests, and the sacrum, superior (a) and inferior (b) volume-rendered spiral CT images show successful reduction of the fractures. Specific detail, especially that of the left sacral fracture (arrows in a), is well defined. (36) Anterior volume-rendered spiral CT image (transparent mode) shows a pin inserted through an impacted fracture of the left femoral neck. The study was performed to confirm accurate placement of the pin, which is well seen on this image. No streak artifact from the pin is seen. (37) Anterior volume-rendered spiral CT image shows a failed right hip prosthesis, which is superiorly displaced relative to the osseous acetabulum. Several cerclage wires are broken. A slight streak is visible, but osseous detail in the region of the prosthesis failure can still be seen. |
 | Figures 35-37. (35) Complex pelvic injury reduced intraoperatively. Spiral CT with 3D reconstruction was performed to determine if the reduction was successful. Despite extensive metal artifact due to plates and screws in the pubic symphysis, both iliac crests, and the sacrum, superior (a) and inferior (b) volume-rendered spiral CT images show successful reduction of the fractures. Specific detail, especially that of the left sacral fracture (arrows in a), is well defined. (36) Anterior volume-rendered spiral CT image (transparent mode) shows a pin inserted through an impacted fracture of the left femoral neck. The study was performed to confirm accurate placement of the pin, which is well seen on this image. No streak artifact from the pin is seen. (37) Anterior volume-rendered spiral CT image shows a failed right hip prosthesis, which is superiorly displaced relative to the osseous acetabulum. Several cerclage wires are broken. A slight streak is visible, but osseous detail in the region of the prosthesis failure can still be seen. |
 | Figures 35-37. (35) Complex pelvic injury reduced intraoperatively. Spiral CT with 3D reconstruction was performed to determine if the reduction was successful. Despite extensive metal artifact due to plates and screws in the pubic symphysis, both iliac crests, and the sacrum, superior (a) and inferior (b) volume-rendered spiral CT images show successful reduction of the fractures. Specific detail, especially that of the left sacral fracture (arrows in a), is well defined. (36) Anterior volume-rendered spiral CT image (transparent mode) shows a pin inserted through an impacted fracture of the left femoral neck. The study was performed to confirm accurate placement of the pin, which is well seen on this image. No streak artifact from the pin is seen. (37) Anterior volume-rendered spiral CT image shows a failed right hip prosthesis, which is superiorly displaced relative to the osseous acetabulum. Several cerclage wires are broken. A slight streak is visible, but osseous detail in the region of the prosthesis failure can still be seen. |
Table 1: Imaging Parameters for Musculoskeletal Spiral CT
| Parameter | Wrist | Joint | Shoulder | Spine | Pelvis | Ankle | Soft Tissue |
| Scan duration (sec) | 20–25 | 20–25 | 30 | 30–40 | 32–40 | 30 | 24–40 |
| Pitch | 1–1.5 | 1–1.5 | 1–1.5 | 1–1.5 | 1–2 | 1–1.5 | 1–2 |
| Section thickness (mm) | 1–2 | 2 | 3 | 3 | 3 | 3 | 3–5 |
| Table speed (mm/sec) | 2–3 | 2–3 | 3–5 | 3–5 | 3–6 | 3–5 | 5–8 |
| Reconstruction interval (mm) | 1 | 2 | 2.5 | 2 | 2–3 | 2 | 3–8 |
| Kilovolt peak | 120 | 120 | 120 | 120 | 120 | 120 | 120 |
| Milliampere seconds | 280 | 280 | 280 | 280 | 280 | 280 | 280 |
| Use of intravenous contrast material | No | Variable | No | No | Not usually | No | Yes |
| Reconstruction algorithm | Ultrahigh | Standard | Standard | Standard or ultrahigh | Ultrahigh or standard soft tissue | Standard | Standard soft tissue |
References
1. Fishman EK. Protocols for Helical CT of the Musculoskeletal System. In: Helical (Spiral) Computed Tomography: A Practical Approach to Clinical Protocols, Silverman PM, ed. New York: Lippincott-Raven; 1998: 149-178. CrossRef, Medline
2. Fishman EK. Spiral CT of the Musculoskeletal System. In: Advances in CT IV. Krestin GP, Glazer GM, eds. Berlin: Springer Verlag; 1998: 175-185. Medline
3. Fishman EK, Magid D, Ney DR, et al. Three-dimensional imaging. Radiology 1991; 181:321-327. CrossRef
4. Brink J. Technical aspects of helical (spiral) CT. Rad Clin North Am 1995; 33(5) 825-841.
5. Kuszyk BS, Heath DG, Bliss DF, Fishman EK. Skeletal 3D CT: Advantages of volume rendering over surface rendering. Skeletal Radiol 1996; 25:207-214. CrossRef
6. Fishman EK. Spiral CT Evaluation of the Musculoskeletal System. In: Fishman EK, Jeffrey RB, eds. Spiral CT: Principles, Techniques and Clinical Applications. New York: Lippincott-Raven; 1998: 273-298. Link
7. Ney DR, Drebin RA, Fishman EK, Magid D. Volumetric rendering of th computed tomographic data. Principles and Techniques. IEEE Comput Graphic Applic 1990; 10:24-32. Medline
8. Kuszyk BS, Ney DR, Fishman EK. The current state of the art in three-dimensional oncologic imaging: an overview. Int J Radiat Oncol Bio Phy 1995; 33(5):1029-1039. CrossRef, Medline
9. Pretorius ES, Fishman EK. Helical (spiral) CT of the musculoskeletal system. Radiol Clin North Am 1995; 33 (5): 949-979. CrossRef
10. Pretorius ES, Scott WW Jr, Fishman EK. Acute trauma of the shoulder: Role of spiral CT imaging. Emerg Radiol 1995; 2(1):13-17. CrossRef
11. Scott WW Jr, Fishman EK, Magid D. Acetabular fractures: Optimal imaging. Radiology 1987; 165:537-539. Medline
12. Thompson DA, Flynn TC, Miller PW, Fischer RP The significance of scapular fractures. J Trauma 1985; 25(10):974-7. CrossRef, Medline
13. Jurik AG, Albrectsen J. The use of computed tomography with two- and three-dimensional reconstructions in the diagnosis of three- and four-part fractures of the proximal humerus. Clin Radiol 1994; 49(11):800-804. CrossRef, Medline
14. Neer CM. Displaced proximal humeral fractures. J. Bone Joint Surg. 1970; 52:1077-1103. Medline
15. Kilcoyne RF, Shuman WP, et al. The Neer classification of displaced proximal humeral fractures: spectrum of findings on plain radiographs and CT scans. AJR 1990; 154(5):1029-1033. CrossRef, Medline
16. Jurik AG, Albrechtsen J. Spiral CT with three-dimensional and multiplanar reconstruction in the diagnosis of anterior chest wall joint and bone disorders. Acta Radiologica 1994; 35(5):468-472. CrossRef, Medline
17. Kuszyk BS, Fishman EK. Direct coronal CT of the wrist: helical acquisition with simplified patient positioning. AJR 1996; 166(2):419-420. CrossRef, Medline
18. Stroszczynski C, Schedel H, Stockle U, et al. Clinical application of multiplanar and 3D reconstruction of spiral CT in diagnosis of acetabulum fractures (German) Aktuelle Radiol 1996; 6(2):91-95. Medline
19. Stevens KJ, Preston BJ, Hahn DM. Bilateral fracture dislocation of the sacroiliac joint. Skeletal Radiol 1997; 26(9):556-668. CrossRef, Medline
20. Vannier MW, Hildebolt LA, Gilula LA, et.al. Calcaneal and pelvic fractures: diagnostic evaluation by three-dimensional computed tomography scans. Journal of Digital Imaging 1991; 4(3):143-152. CrossRef, Medline
21. Rubin GD, Dake MD, Semba CP. Current status of three-dimensional spiral CT scanning for imaging the vasculature. Radiol Clin North Am 1995; 33(1):51-70. Medline
22. Prokop M, Schaefer-Prokop C, Galanski M. Spiral CT angiography of the abdomen. Abdominal Imaging. 1997; 22(2):143-153. CrossRef, Medline
23. McEnery KW, Wilson AJ, Pilgram TK, Murphy WA Jr, Marushack MM. Fractures of the tibial plateau: value of spiral CT coronal plane reconstructions for detecting displacement in vitro. AJR 1994; 163(5):1177-1181. CrossRef, Medline
24. Sati M, de Guise JA, Drouin G. Computer assisted knee surgery: diagnostics and planning of knee surgery. Computer Aided Surgery 1997; 2(2):108-123. CrossRef, Medline
25. Magid D, Michelson JD, Ney DR, Fishman EK. Adult ankle fractures: Comparison of plain films and interactive two- and three-dimensional CT scans. AJR 1990; 154:1017-1023. CrossRef, Medline
26. Sartoris DJ, Resnick D. Diagnostic imaging approach to calcaneal fractures. Journal of Foot Surgery. 1987; 26(6): 524-9. Medline
27. Beauchamp NJ, Scott WW Jr, Gottlieb LM, Fishman EK. CT evaluation of soft tissue muscle infection and inflammation: A systematic compartmental approach. Skeletal Radiol 1995; 24:317-324. Medline
28. Magid D, Fishman EK. Musculoskeletal infections in patietns with AIDS: CT findings. AJR 1992; 158:603-607. CrossRef, Medline
29. Tecce PM, Fishman EC. Spiral CT with multiplanar reconstruction in the diagnosis of sternoclavicular osteomyelitis. Skeletal Radiol 1995; 24:275-281. Medline
30. Panicek DM, Gatsonis C, Rosenthal DI, et al. CT and MR imaging in local staging of primary malignant musculoskeletal neoplasms: Report of the Radiology Diagnostic Oncology Group. Radiology 1997; 202(1):237-246. Link
31. Kuszyk BS, Ney DR, Fishman EK. The current state of the art in three dimensional oncologic imaging: an overview. International Journal of Radiation Oncology, Biology, Physics 1995; 33(5):1029-1039.
32. Plumley D, Grosfeld JL, Kopecky KK, Buckwalter KA, Vaughn WG. The role of spiral (helical) computerized tomography with three-dimensional reconstruction in pediatric solid tumors. Journal of Pediatric Surgery 1995; 30(2):317-321. CrossRef, Medline